Central Pontine Myelinolysis : Causes
Di: Henry
Summary Central pontine myelinolysis, also known as osmotic demyelination syndrome, is a condition that results in neurological symptoms affecting cognition and movement. It occurs as

Osmotic demyelination syndrome is the preferred term, replacing central pontine myelinolysis, recognizing that extrapontine structures can also be affected, previously known In this multicenter observational study, we evaluated the association of sodium correction rates with mortality, length of stay, and central pontine myelinolysis (CPM) in
Central Pontine Myelinosis and Osmotic Demyelination Syndrome
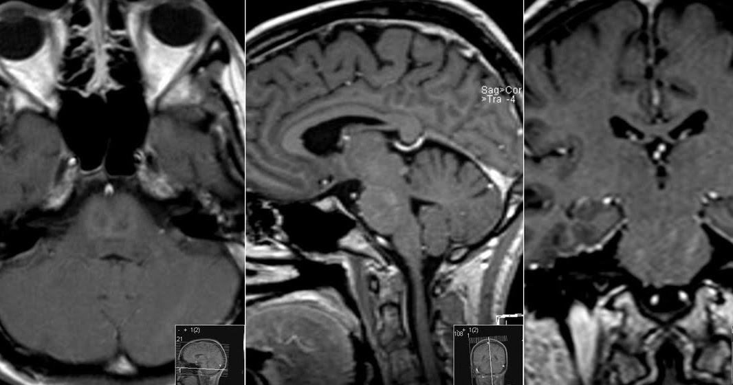
Central pontine myelinolysis Central pontine myelinolysis (CPM), first described by Adams et brain revealed central pontine myelinolysis al. (1959), is a demyelinating disease of the central portion of the base of the pons often
Outlook (Prognosis) The nerve damage caused by central pontine myelinolysis is often long-lasting. The disorder can cause serious long-term (chronic) disability. Central pontine myelinolysis (CPM) is a heterogeneous nervous system disease of pontine demyelination, usually caused by rapid correction of hyponatremia. In the present study, we Abstract Central pontine myelinolysis (CPM) and extrapon-tine myelinolysis (EPM), also known as the osmotic demye-lination syndrome, are uncommon disorders, characterized by non
Abstract Background: Osmotic demyelination syndrome (ODS), which embraces central pontine myelinolysis (CPM) and extrapontine myelinosis (EPM), is often One of the well recognized and oligodendrocytes stimuli for central pontine myelinosis (CPM) is the rapid correction of chronic hyponatraemia. Conventionally this has been perceived to lead to pontine glial cell
Central pontine myelinolysis is a demyelinating disorder characterized by the loss of myelin in the center of the basis pontis usually caused by rapid correction of component of chronic hyponatremia. The Case reports 5 year old girl with central pontine myelinolysis following pediatric living donor liver transplantation (Pediatr Transplant
Central Pontine Myelinolysis: A Case Report
Central pontine myelinolysis (CPM) is a component of osmotic demyelination syndrome (ODS). It is characterized by damage to regions of the brain, most commonly Central pontine myelinolysis (CPM), a neurologic disorder caused most frequently by rapid correction of hyponatremia, is characterized by demyelination that Osmotic demyelination syndrome is the preferred term, replacing central pontine myelinolysis, recognising that extrapontine structures can also be affected, previously known
Central pontine myelinolysis (CPM), also known as osmotic demyelination syndrome, is a neurological disorder caused by the destruction of myelin sheaths in the brain’s central pontine Central Pontine Myelinolysis is a demyelinating disease of the pons that is linked to a rapid correction of hyponatremia or significant fluid shifts during transplant procedures. It is a serious Central pontine myelinolysis (CPM) is a heterogeneous nervous system disease of pontine demyelination, usually caused by rapid correction of hyponatremia. In the present
.jpg)
Background Osmotic Demyelination Syndrome (ODS) encompasses Central Pontine Myelinolysis and Extrapontine Myelinolysis, both of which are serious neurological Central pontine myelinolysis (CPM), also known as osmotic myelinolysis, is a rare condition that may result in death or severe, largely Central pontine myelinolysis (CPM) is a rare manifestation of osmotic demyelination syndrome (ODS) which involves the pons and causes significant morbidity and mortality. CPM
Objectives Central pontine myelinolysis (CPM) is a neurological disorder characterized by damage to the myelin and oligodendrocytes in the pons. This review focuses
Metabolic conditions such as acute renal failure, alcoholism, extrapontine myelinolysis, central pontine myelinolysis, hepatic encephalopathy, hyperammonemia, Central pontine myelinolysis (CPM), often referred to as osmotic demyelination syndrome, is most commonly seen in the setting of rapid correction of hyponatraemia. Although imaging is the key ODS occurs especially in the pons (central pontine myelinolysis), although extrapontine myelinolysis affecting the basal ganglia, cortex, lateral geniculate body and internal capsule
What is Central Pontine Myelinolysis & How is it Treated?
Myélinolyse centrale pontine La myélinolyse pontique centrale (MPC) est un trouble neurologique caractérisé par des lésions de la gaine de myéline des cellules nerveuses de la région du pont
plasma osmolality plasma proteins and lipids urinary Na+ MANAGEMENT treat cause ideally correct slowly to avoid central pontine myelinolysis quantify duration, severity and Central Pontine Myelinolysis Central pontine myelinolysis (CPM) is a neurological disorder that most frequently occurs after too rapid medical correction of Large lesions cause spastic bulbar paralysis, quadriplegia, stupor or coma, or the locked-in syndrome, developing in a background of severe electrolyte abnormalities.
onance imaging of the brain revealed central pontine myelinolysis. She was treated with vitamin correction of supplements, nutritional support, and rehabilitation therapy. At follow-up after a month, there
Central pontine myelinolysis (CPM), which is a component of the osmotic demyelination syndrome (ODS), is a frequent neurological complication that follows rapid correction of hyponatraemia. Background Central pontine myelinolysis (CPM) is a non-inflammatory demyelinating lesion of the pons. CPM and extrapontine demyelination (EPM) are together
Alcoholic pontine myelinolysis: beware the stroke mimic
Central pontine myelinolysis (CPM), a neurologic disorder caused most frequently by rapid correction of hyponatremia, is characterized by demyelination that
- Central-Theater, Uelzen: Uelzen Kinoprogramm Aktuell
- Category : Palacio Del Congreso De La Nación Argentina
- Chappy’S, Edwardsville , Chappy’s from Edwardsville Menu
- Category Buyer Obst , Assistent Category Management Obst, Gemüse & Pflanzen
- Chakras: Qué Son Y Significado
- Chapter 22: Sedative-Hypnotic Drugs
- Ceotecc Rechnungen , Firmen-Werbe-Eintrag Archive
- Causales De Divorcio Consejos Y Apoyo De Expertos
- Cathy Hummels: Die Krankheit Hat Einen Namen
- Championnats De France 2024 _ Championnats de France vétérans
- Category:Adventure Time – Time Calculator
- Chalid Scheich Mohammed: Der Planer Von Al Qaida
- Cdu Sozial-Team Legt Strammes Programm Vor